Worried? Come See Your Baby’s Heartbeat 💗

Reassurance Ultrasound in South Jersey

See your baby and their heartbeat — without waiting for your first doctor visit.

This visit is perfect if you:

  • Haven’t had your first appointment yet

  • Feel like symptoms have changed

  • Just want to check that baby is okay

  • Need reassurance between doctor visits

Appointments available for early pregnancy through mid-pregnancy reassurance visits.

Trusted by over 14,000 South Jersey families since 2017.

Check Availability Today

A Gentle Way to Check In

If you’re feeling anxious, excited, or simply want to see your baby again, you’re not alone. Many families look for reassurance ultrasounds as a way to feel more connected and at ease between doctor visits.

At Wonder Time, each visit is thoughtfully adapted to how far along you are — whether you’re hoping to see a heartbeat in early pregnancy or simply reconnect later on.

What This Visit Includes

• Heartbeat confirmation using gentle, early-safe imaging techniques (when visible)
• 2D ultrasound imaging
• A calm, private setting
• A short, calming visit designed to offer reassurance
• Printed keepsake image

Our approach is always gentle and appropriate for early pregnancy, using the safest imaging methods based on how far along you are.

👉 Book Your Reassurance Visit


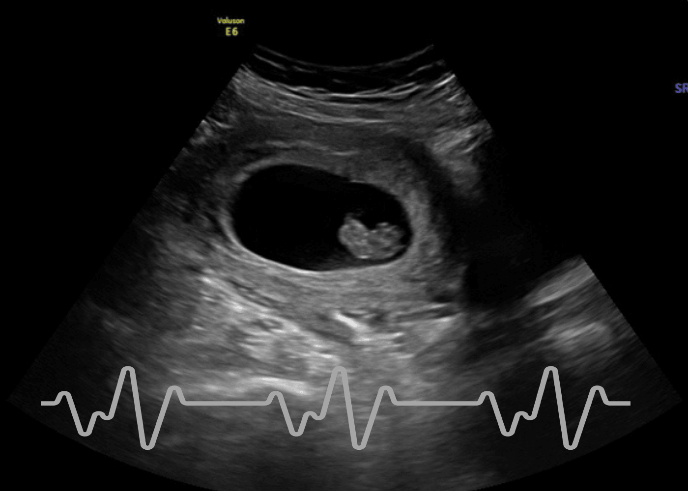
Ultrasound image of an early pregnancy showing a gestational sac with an embryonic heartbeat, with a heart rate monitor line overlay.

8+ Weeks

Heartbeat Check Visit $49

A quick visit designed for parents who simply want the reassurance of hearing baby’s heartbeat.

This brief ultrasound confirms baby’s heartbeat and measures the heart rate.

Includes

2–3 minute ultrasound check
2D imaging only
Baby’s heartbeat and heart rate confirmation
One printed black-and-white keepsake image of baby’s heartbeat

This visit is intended as a simple reassurance check and does NOT include measurements, video, or additional imaging.


Ultrasound scan of a developing fetus in the womb, with a heartbeat waveform displayed at the bottom.

6–10 Weeks

Early Reassurance $75

A gentle, focused visit designed to confirm baby’s heartbeat during the earliest weeks of pregnancy.

These first weeks can feel tender and uncertain. This appointment offers a calm space to pause, see baby, and leave feeling reassured.

Includes approximately 5–10 minutes of 2D ultrasound imaging, along with:

• Heartbeat confirmation
• Basic measurements
• Confirmation of one baby
• 1–2 printed b&w keepsake images
• Transvaginal imaging if needed for clearer early views

Pregnancy dating calculators can sometimes be off by a few days, so if you are earlier than expected we’ll happily welcome you back for a brief return visit for $40.

A pregnant woman lying on an examination bed during an ultrasound, smiling, with a medical technician operating ultrasound equipment and looking at the monitor.

11-22 Weeks

The Peace of Mind Visit $89

A reassuring mid-pregnancy check-in designed to help you reconnect and see how baby is growing.

As baby becomes more active, this visit allows you to watch movement, notice new details, and leave feeling confident and connected.

Includes approximately 10 minutes of 2D imaging, plus:

• Heartbeat confirmation
• Movement and growth check
• One complimentary 3D preview image
• 2-3 printed b&w keepsake images


The Reassurance Membership - $149

Pregnancy can bring moments of excitement, but it can also bring times when you simply want a little extra reassurance between doctor visits. The Reassurance Membership was created for parents who appreciate the comfort of checking in on baby whenever they need peace of mind.

This membership allows you to visit the studio for quick reassurance ultrasounds, giving you the opportunity to see baby and hear the heartbeat in a calm, welcoming environment.

Many families enjoy these visits throughout pregnancy as a way to reconnect with baby between their regularly scheduled OB appointments.

Membership Includes

Two reassurance visits, each lasting approximately 5–10 minutes
2D ultrasound imaging to confirm baby’s heartbeat and movement when visible
One printed keepsake image from each visit

Membership visits may be scheduled anytime during pregnancy.

Member Pricing

If you would like additional reassurance visits beyond the two included in your membership, members receive a special rate of $59 per visit.

Membership Price

Wonder Time Reassurance Membership — $149

Important Note

Reassurance ultrasounds are intended for bonding and peace of mind only and do not replace medical care from your doctor or midwife.

What should I expect?

  • Can I bring people with me?

    Yes you can bring up to 10 people with you to any scan. Also, we offer Live Streaming for those clients who want to share with family members who are unable to attend in person.

  • Is this safe?

    Yes — ultrasound is non-invasive and widely used.

  • Do I need a doctor’s referral?

    No referral is needed.

  • Is this a medical exam?

    No — this is an elective, non-diagnostic experience for reassurance and bonding.

 What happens during your visit

  • Short, focused ultrasound session

  • Time to see baby and heartbeat (when appropriate)

  • Clear explanation of what you’re seeing

Space to breathe, ask questions, and feel supported

Please note: This is a non-diagnostic, elective ultrasound and does not replace prenatal care.

 Leave feeling calmer than when you arrived.