A Beautiful Ultrasound Experience—Backed by Medical Expertise

Every scan at Wonder Time is performed by experienced sonographers—so you can feel confident, comfortable, and fully present for every moment.

✔ 14,000+ clients since 2017
✔ Early reassurance & heartbeat scans available
✔ Private, family-friendly environment
✔ High-quality 3D/4D HD imaging


Appointments available this week — limited evening & weekend spots

Glenda performs a 3d ultrasound

I want reassurance

Check on baby, ease anxiety, and feel confident everything looks good.

Best options:

  • Heartbeat Check

  • Early Reassurance Scan

  • Peace of Mind Visit

I want to know gender

Find out early and celebrate this special moment.

Best options:

  • SneakPeek + Quick Scan

  • Gender Ultrasound

I want to see my baby (3D/4D/HD)

Bond with your baby and capture unforgettable images.

Best options:

  • Signature Experience

  • Heirloom Experience

  • Perfect Timing Duo

Wonder Time Preview Package - $25.00

6+ Weeks

~ Available weekdays only ~

This special package is reserved for clients visiting WonderTime for the very first time.

Includes:

  • 5–10 minute 2D ultrasound

  • See and hear baby’s heartbeat

  • Baby measurements

  • Watch baby move

  • 2-3 Black & white keepsake prints

  • Digital Photos

  • WonderTime Capsule for storing your prints

Available starting at 6 weeks. Does not include digital video or livestream.

Created especially for families visiting Wonder Time for the very first time.

One introductory session per client/family. Not available on weekends.

Ultrasound image with a heart rate monitor overlay showing a heartbeat pattern

8+ Weeks

Heartbeat Check Visit $49

A quick visit designed for parents who simply want the reassurance of hearing baby’s heartbeat.

This brief ultrasound confirms baby’s heartbeat and measures the heart rate.

Includes

2–3 minute ultrasound check
2D imaging only
Baby’s heartbeat and heart rate confirmation
One printed black-and-white keepsake image of baby’s heartbeat

This visit is intended as a simple reassurance check and does NOT include measurements, video, or additional imaging.


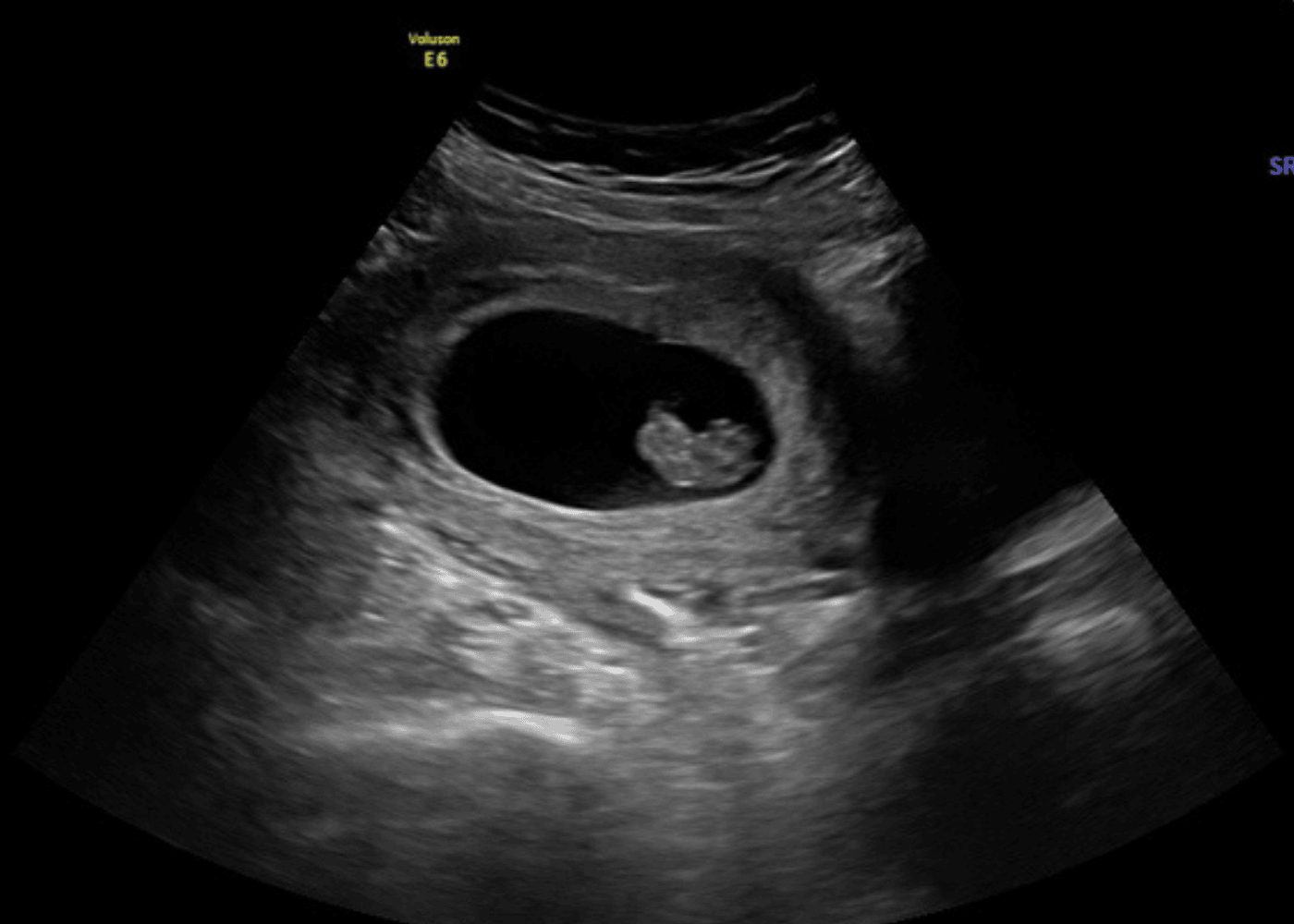
Ultrasound scan showing an early pregnancy with a developing fetus inside the gestational sac.

6–10 Weeks

Early Reassurance $75

A gentle, focused visit designed to confirm baby’s heartbeat during the earliest weeks of pregnancy.

These first weeks can feel tender and uncertain. This appointment offers a calm space to pause, see baby, and leave feeling reassured.

Includes approximately 5–10 minutes of 2D ultrasound imaging, along with:

• Heartbeat confirmation
• Basic measurements
• Confirmation of one baby
• 1–2 printed b&w keepsake images
• Transvaginal imaging if needed for clearer early views

Pregnancy dating calculators can sometimes be off by a few days, so if you are earlier than expected we’ll happily welcome you back for a brief return visit for $40.


A woman smiling and looking down while receiving an early gender DNA test through a nasal swab in her arm, with the text 'SneakPeek Clinical Early Gender DNA Test' in the top right corner.

6+ Weeks

SneakPeek + Quick Scan $159

Gender DNA Determination Test

An early, thoughtfully designed visit that combines the SneakPeek clinical gender test with a brief ultrasound check-in for added reassurance.

For families who prefer to know sooner, this appointment offers a calm and confident way to begin planning — while still pausing to see baby on screen.

Includes approximately 5 minutes of 2D ultrasound imaging along with:

Painless SneakPeekSnap gender test
• 1-2 printed b&w keepsake images
• Fast results in 3–4 days
• Access to a future ultrasound gender confirmation visit for only $40 when you add at checkout in store.


An ultrasound ultrasound image on a white card attached with pink and blue ribbons, resting on a closed white envelope.

13+ Weeks

Gender Ultrasound $129

A joyful, relaxed session to determine and celebrate your baby’s gender.

We’ll guide you through the moment in a calm setting, giving you time to take it in and enjoy it together.

Includes approximately 10–15 minutes of 2D imaging, with:

• Guaranteed gender determination
• Brief movement check
• One complimentary 3D image
• 2–3 printed b&w keepsake images
• Sealed envelope option upon request


A pregnant woman lying on an examination table during an ultrasound, smiling, while a female healthcare professional in purple gloves practices the ultrasound on her belly with an ultrasound machine.

11+ Weeks

The Peace of Mind Visit $89

A reassuring mid-pregnancy check-in designed to help you reconnect and see how baby is growing.

As baby becomes more active, this visit allows you to watch movement, notice new details, and leave feeling confident and connected.

Includes approximately 8–10 minutes of 2D imaging, plus:

• Heartbeat confirmation
• Movement and growth check
• One complimentary 3D preview image (under 22 weeks)
• 2-3 printed b&w keepsake images


3D ultrasound image of a developing fetus in the womb.

26–34 Weeks

Signature Experience $179

Our classic single visit bonding experience.

At this stage, baby’s features are beautifully formed, allowing you to see expressions, movement, and sweet little details in 3D/4D/HD imaging — while also learning more about how baby is growing. Can be booked after 32 weeks, but is best in recommended range.

Includes approximately 20 minutes of 3D/4D/HD imaging, along with:

• Baby’s measurements and estimated weight
• 4 printed b&w keepsake images
• 20% off a Heartbeat Animal keepsake purchased at your visit

INCLUDES ½ OFF A RETURN VISIT – $89
Enjoy 50% off a return visit with this package. Ask the receptionist for your personal booking link to schedule your discounted follow-up appointment.

______________________________________________

Complimentary Return Visit if needed

If baby’s position prevents us from capturing a clear facial image at the initial appointment — showing at least one eye, the nose, and the mouth — we are happy to offer a complimentary 10-minute return visit so we can try again.

Return visits are scheduled Wednesday through Friday, typically within the following week.

Sometimes babies simply need a little extra time to show their best side, and we’re always happy to welcome you back.

Many families love seeing baby so much that they return again later — which is why we created the Perfect Timing Duo (scroll down for details).

Two 3D ultrasound images of a smiling baby, one with closed eyes and the other with eyes partly open, displayed on black backgrounds with blurred bokeh lights in the background.

26–34 Weeks

Glenda’s pick for best images!

The Perfect Timing Duo $229

Two visits for only $50 more

⭐ Our best option for capturing the clearest 3D images and video.

Two thoughtfully timed visits during the ideal imaging window — typically around 28 and 32 weeks (or any two weeks within the third trimester) — allow you to see baby at different stages of development.

Because babies don’t always cooperate during a single visit, the Duo gives you two opportunities to capture beautiful facial images, expressions, and movement.

Rather than relying on one moment, this experience allows baby to shine when the timing is just right.

Includes:

Two 15-minute 3D/4D/HD ultrasound sessions, professionally timed for optimal imaging
3–4 printed black-and-white keepsake images at each visit
Heartbeat Animal keepsake with your baby’s recorded heartbeat
Priority scheduling within the 26–34 week imaging window

3D ultrasound image of a smiling baby with closed eyes.

26-34 weeks

The Heirloom Experience ~ $349

A thoughtfully curated series of visits designed to preserve this chapter of your pregnancy in a meaningful and lasting way.

Rather than experiencing just one moment, The Heirloom Experience allows you to return at several beautiful stages — creating a collection of images, memories, and keepsakes that tell the story of your baby before birth.

Each visit is intentionally spaced to give you time to reconnect with baby as they grow, while also creating lasting pieces you’ll treasure for years to come.

Includes:

• Two Signature Experience ultrasound sessions
Approximately 20 minutes each, scheduled at ideal gestational windows

• Reels-Ready Capture
6–10 vertical video clips captured during your visit and delivered the same day

• Full Family Experience enhancement
Includes Mama Moment Chair, Dad’s First Look, and participation for siblings or grandparents

• Heartbeat Keepsake Animal
Your baby’s heartbeat recorded inside a keepsake of your choice

• One framed 8×10 ultrasound portrait
Professionally printed and presented after your second visit

Designed for families who want to preserve this season of pregnancy with intention —through the beautiful 3D bonding stage.

Prices listed do not include New Jersey sales tax, which will be added at checkout.

Thoughtfully Planned Bundles

The Reassurance Membership -

$149

Pregnancy can bring moments of excitement, but it can also bring times when you simply want a little extra reassurance between doctor visits. The Reassurance Membership was created for parents who appreciate the comfort of checking in on baby whenever they need peace of mind.

This membership allows you to visit the studio for quick reassurance ultrasounds, giving you the opportunity to see baby and hear the heartbeat in a calm, welcoming environment.

Many families enjoy these visits throughout pregnancy as a way to reconnect with baby between their regularly scheduled OB appointments.

Membership Includes

Two reassurance visits, each lasting approximately 5–10 minutes
2D ultrasound imaging to confirm baby’s heartbeat and movement when visible
One printed keepsake image from each visit

Membership visits may be scheduled anytime during pregnancy.

Member Pricing

If you would like additional reassurance visits beyond the two included in your membership, members receive a special rate of $59 per visit.

Important Note

Reassurance ultrasounds are intended for bonding and peace of mind only and do not replace medical care from your doctor or midwife.

The Signature Journey

Two Reassurance Visits + Signature -

$279

Over $350 value

A thoughtfully designed series that blends steady reassurance with a beautifully detailed bonding experience.

Begin with two calming reassurance visits at meaningful moments in pregnancy, then return during the ideal 3D imaging window to experience baby’s features, expressions, and growth in remarkable detail.

This package allows you to stay connected throughout pregnancy — and complete the journey with a full 3D bonding session.

Includes:

Two Reassurance Visits
• a 2D 5-10 minute ultrasound at each visit
• Heartbeat confirmation
• Baby’s measurements and estimated weight (when appropriate)
• Movement and position check
• Printed b&w keepsake images at each visit

Signature 3D 4D HD Experience
• Approximately 20 minutes of 3D/4D/HD imaging
• Baby’s measurements and estimated weight
• Printed images
• 20% off a Heartbeat Animal keepsake

Designed for families who value consistent reassurance and a beautifully preserved 3D 4D bonding experience — thoughtfully planned together.


Twins or More?

When expecting multiples, please add the Twins Upgrade (+$40) to your selected package at checkout.

This allows us to schedule extended scan time so each baby receives the attention they deserve.

Appointments booked without the twins upgrade may need to be adjusted.


The Family Experience Collection

At Wonder Time, your visit can be more than a scan — it can be a shared memory.

Enhance your appointment with one of our curated family rituals, thoughtfully guided and never rushed.

Select these enhancements in the add-on list during checkout.

Signature Moments – $29

Choose one meaningful ritual:

Mama Moment Chair ~ A softly guided pause in our signature chair with 2–3 poses and a short vertical clip (filmed on your phone) and one 4×6 color print of your moment.

A pregnant woman sitting on a cream-colored couch in a cozy room with a large green plant behind her. She is smiling and holding her belly, wearing a black cardigan and black leggings with a polka dot top. next to her is a small round side table with a framed sign that reads 'Wonder time Mama Moment.' The room has a patterned carpet and light-colored curtains.

Big Sibling Experience – Sibling helps with gel / “scanning”, watches baby up close, and receives a “Big Brother” or “Big Sister”book.

A woman lying in a hospital bed having a ultrasound scan of her pregnant belly, with a young girl holding the ultrasound probe and smiling, in a medical room with ultrasound equipment and a large monitor showing a 3D ultrasound image of a fetus.

Dad’s First Look – A private, uninterrupted first viewing moment with one 4×6 color print of your moment.

A woman lying on a hospital bed during an ultrasound, looking happy with her hand on her pregnant belly, while a healthcare professional performs the ultrasound. The professional is holding a transducer, and an ultrasound monitor displays a 3D image of a fetus. There are other medical equipment and screens in the background.

Grandparent First Glimpse – Dedicated viewing moment for grandparents with one 4×6 color print of your moment.

$29 per grandparent

A pregnant woman lying in a hospital bed during an ultrasound, smiling and holding her belly, with her partner and a medical professional standing beside her, and ultrasound equipment showing the baby on the monitor.

Perfect for families who want to highlight one special role.

*These packages include a mock scan from participant*

Parent Moments – $55

Designed just for mama and dad.

Includes:
• Mama Moment Chair (one 4×6 color print of your moment. + short clip)
• Dad’s First Look (private first viewing + one 4×6 color print of your moment.)

A beautifully layered experience for couples.

Full Family Experience – $129

For celebration-style visits.

Includes:
• Mama Moment Chair
• Dad’s First Look
• Big Sibling Experience
• Grandparent First Glimpse
• Three 4×6 color prints of each your moments.
• One short vertical Reel clip

Thoughtfully guided to include everyone without overwhelming the moment.

Reels-Ready Capture – $59

Want polished announcement content without holding your phone?

We discreetly capture 6–10 vertical clips during your visit — heartbeat, reactions, reveal moments — and send the raw clips to you the same day.

Simply post and share.

Select these enhancements in the add-on list during checkout.

**These are quick, staged photo moments captured during your visit. We will take a few images and you will select your favorite at the time. Please note that individual preferences regarding personal appearance may vary. Due to the nature of this add-on, images are not eligible for reshoots, edits, or refunds once selected.